种植牙被誉为继乳牙、恒牙后人类的“第三副”牙齿,但它并不是像种庄稼那样,种入种子长出新的牙齿,而是通过外科手术将人工材料制成的种植体植入缺牙区的牙槽骨中,以骨结合的方式与颌骨融合到一起作为人工牙根,再以牙根为基础来修复缺失牙。
好的种植牙,不仅为患者提供坚固、耐用的牙齿,而且还可以重现牙齿的自然美观。所以,做种植牙一定要选择正规的医院,找经过专门培训的、有经验的口腔医师来完成。
特别推荐:留美美学种植专家——李佳欣 主治医师
擅长:各类型牙种植修复、前牙美学种植、咬合功能重建
简介:留美美学种植专家、国际种植牙医师学会会员、iACD首席种植专业翻译官
“坚固耐用是基本需求,自然美观是对种牙品质的更高要求”
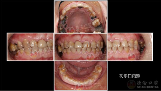
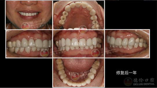
李医生诊疗案例


8月特诊时间:23日、25日、28日
马上抢约〉〉〉〉
李佳欣医生2007年毕业于中山大学光华口腔医学院,从事口腔临床工作近10年。期间他多次赴美国哥伦比亚大学、宾夕法尼亚大学等进修学习。
2014年李医生在哥伦比亚大学进修
2017年5月2日~5月5日,李佳欣医生作为亚太区30余位牙医代表之一参与美国纽约大学口腔医学院举办的继续教育项目,并于5月6日~5月7日参加iACD举办的200人学术盛会,获得美国官方认可的专科医师认证。
李医生获得iACD的Diplomate资质(Diplomate美国官方认可的专科医师认证,美国牙医分为全科医生和专科医生,而专科医师对医生的临床经验和技艺要求更严苛。)
李医生与本次牙周治疗培训导师、牙周病学教父P.D.Miller教授合影
种植牙也需要维护
种植牙毕竟不是天然牙,为保证种植牙的使用寿命,应注重日常维护。
作为一名合格的口腔种植医生,李医生不仅可以为患者种上一口好牙,而且常常为种牙市民授课讲解种植牙的相关知识,帮助他们养成保护口腔健康的好习惯,保障种植牙的寿命。
德国种牙节活动,李医生为观众授课后,受到G4出动主持人林洁和听课市民的热情点赞
8月特诊时间:23日、25日、28日
马上抢约〉〉〉〉
特色项目
牙齿问题在线咨询
020-8378 2905
专家推荐
网上自助挂号
患者
须知
贯彻国家卫生部新医改政策,严格落实解决挂号难、看病难问题,开展网络自助预约挂号服务。

口腔连锁品牌